Qué es la osteogénesis imperfecta
Radiografías
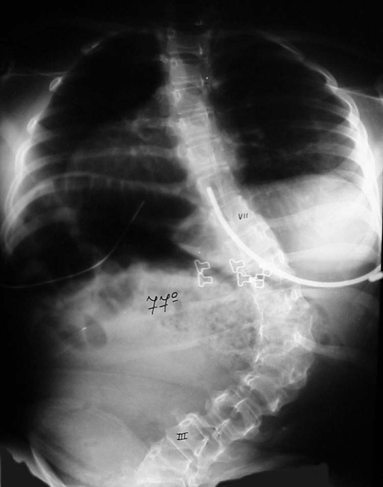
Columna, desviación 77º, antes operación Columna, desviación 34º, después operación
Correo electrónico: contacto@osteogenesis.info